Phương pháp chỉnh nha niềng răng cho trường hợp hô
“Hô” là một lý do khá thường gặp khi bệnh nhân đến khám bác sĩ chỉnh nha. Quan điểm trước đây cho rằng điều trị hô luôn luôn phải nhổ răng và thời gian điều trị khá dài. Với kỹ thuật chỉnh nha niềng răng ngày nay, bạn sẽ không cần phải “hi sinh” nhiều như vậy: thời gian điều trị trung bình 18-24 tháng, tỉ lệ nhổ răng khoảng 20-30%.
1/ Những đặc điểm của hàm răng và khuôn mặt làm cho bạn cảm thấy “hô”:
Một điều thú vị là rất nhiều bệnh nhân đánh giá mình “hô”, nhưng họ lại không thể giải thích được cụ thể và chi tiết đặc điểm nào làm cho mình “hô”. Vậy thì “hô” là như thế nào?
Theo kinh nghiệm của các bác sĩ chỉnh nha niềng răng, bệnh nhân thường đánh giá “hô” khi có một số đặc điểm sau:
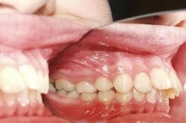
a) Chỉnh nha niềng răng với trường hợp răng bị chìa ra phía trước:
Đây là nguyên nhân thường gặp nhất và rất nhiều người sẽ dễ dàng đồng ý. Răng bị chìa ra làm mất thẩm mỹ vùng răng cửa khi cười, thậm chí một số trường hợp sẽ không thể khép môi được khi bệnh nhân thả lỏng cơ môi.
Hô do răng cửa bị chìa ra trước là nguyên nhân thường gặp (hình trên). Sau khi điều trị, răng cửa được dựng thẳng sẽ cải thiện thẩm mỹ (hình dưới).
b) Cung hàm hẹp, nổi bật các răng cửa:
Khi cung hàm bị hẹp, các răng cửa sẽ có xu hướng nổi bật và chìa ra phía trước, làm tăng cảm giác “hô”. Ở những trường hợp này, cần rất thận trọng với chỉ định nhổ răng.

Hình: một ca điều trị hô thành công
Ở trừờng hợp trên bạn sẽ có cảm giác là rất hô và nghĩ rằng “chắc chắn phải nhổ răng”. Nhưng hình bên cạnh cho thấy bác sĩ chỉnh nha niềng răng đã điều trị hợp lý và khéo léo: mở rộng cung hàm bị hẹp, sắp xếp lại các răng và “không nhổ răng”!
c) Môi căng, hàm dưới lùi:
Đây là đặc điểm khó nhìn nhận ra nhất, là điều mà bệnh nhân hay than phiền nhất rằng mình bị “hô” nhưng không thể trả lời cụ thể hô như thế nào.
d) Hô 2 hàm:
Những trường hợp này bệnh nhân thường thấy mình hô khá nhiều. Môi bệnh nhân căng và không tự khép lại được ở tư thế nghỉ tự nhiên. Nhổ răng thường được chỉ định cho trường hợp này.

Hình: bệnh nhân hô 2 hàm trước và sau
2/ Chỉnh nha niềng răng được điều trị như thế nào?
Khi bạn và bác sĩ chỉnh nha niềng răng đều nhìn nhận đúng hướng, đúng vấn đề, thì điều trị đặt ra sẽ khá đơn giản: khắc phục những đặc điểm trên!
Việc điều trị cho người trưởng thành và trẻ em sẽ có một số khác biệt:
a) Điều trị cho người trưởng thành
Ở người trưởng thành, khối xương hàm mặt đã ổn định và không còn sự phát triển hay thay đổi trong tương lai. Kế hoạch điều trị thường là bù trừ và sửa chữa chững khiếm khuyết hiện có, nên chỉ định nhổ răng thường được đặt ra.
Một số trường hợp, bác sĩ chỉnh nha niềng răng sẽ chỉ định đặt Implant chỉnh nha để hỗ trợ cho điều trị.

Hình: bác sĩ chỉnh nha sẽ kết hợp đặt Implant
Như vậy, ở người trưởng thành, điều trị vẫn có thể đạt được kết quả tối ưu, nhưng sẽ có chỉ định nhổ răng (khoảng 30% thực tế với bệnh nhân Việt Nam) và đặt Implant (khoảng 10%-20% trường hợp) để đạt được kết quả cao nhất.
Chỉnh nha niềng răng ở người trưởng thành không bị lệ thuộc vào các yếu tố như tuổi tác (là một điều mà bệnh nhân rất thường hỏi bác sĩ chỉnh nha niềng răng), mà thường hay phụ thuộc vào yếu tố tâm lý, chẳng hạn như “ngại” mang mắc cài, “ngại” thời gian lâu, “ngại” người khác thấy mình niềng răng. Vì vậy bác sĩ sẽ luôn phải động viên cho bệnh nhân. Bạn cũng có thể chọn mắc cài sứ mới có màu trong suốt như Damon Clear để người khác gần như không thấy bạn mang mắc cài.
Nếu bạn cảm thấy tươi trẻ, bạn sẽ luôn thấy cuộc sống tốt đẹp! Cũng như vậy, nếu bạn muốn có một nụ cười đẹp hơn, thì chỉnh nha là điều bạn có thể suy nghĩ!
b) Điều trị chỉnh nha niềng răng cho trẻ em:
Ở trẻ em, nếu được điều trị sớm trước 16 tuổi, tỉ lệ nhổ răng số 4 để chỉnh nha (từ răng cửa giữa số 1 đếm vào trong đến răng số 4, kế bên răng nanh) giảm xuống dưới 10%! Bác sĩ chỉnh nha niềng răng sẽ dựa vào sự phát triển của trẻ ở tuổi dậy thì để đưa ra kế hoạch điều trị hợp lý và tốt nhất.
Phụ huynh đưa trẻ đến gặp nha khoa uy tín niềng răng càng sớm, kết quả điều trị đạt được càng cao, tỉ lệ nhổ răng càng ít!
Tuy vậy, bạn cũng nên lưu ý là đến tuổi 18, răng khôn (răng số 8 hay răng hàm trong cùng) mọc có thể gây trở ngại hoặc ảnh hưởng đến kết quả chỉnh nha niềng răng. Khi đó chỉ định nhổ răng khôn sẽ được chỉ định.
3/ Kết luận chỉnh nha niềng răng:
Điều trị chỉnh nha niềng răng là một nghệ thuật, dựa trên những cơ chế và bằng chứng khoa học đã được chứng minh. Một ca điều trị chỉnh nha niềng răng thành công đòi hỏi người bác sĩ biết cách vận dụng kiến thức của mình vào từng trường hợp cụ thể, trong từng trường hợp riêng biệt. Có thể với bệnh nhân này, nhổ răng không được chỉ định, nhưng ở bệnh nhân khác, nhổ răng là thật sự cần thiết để đạt được mục đích đề ra.



0 comments:
Post a Comment